신뢰를 가장 중시하는
바른플란트치과
바른플란트치과는
1.정확하고 꼼꼼한 진단
2.친절하고 상세한 상담
위 두가지를 통해
"과잉진료 없이 꼭 해야만 하는 치료를 잘해드리기"
를 가장 큰 목표로 두고 있는 치과입니다.
좋은 치과 선택 기준
의료진의 학벌 및 이력, 멋진 인테리어, 최신 장비 및 시설 등 사람마다 다양한 기준들이 있지만, 저는 좋은 치과가 갖추어야 할 가장 중요한 덕목은 '진정성이 담긴 소통'이라고 생각합니다.
바른플란트치과의 진정성 있는 소통
우리는 고객과의 상담을 통해 정확한 진단을 먼저 해드립니다. 현재 어떤 문제가 있는지? 꼭 치료가 필요한지? 방치하면 어떻게 되는지? 가장 적절한 치료법은 무엇인지? 최신 장비와 진단 기법을 통해 명확한 상담을 진행하고 이를 통해 과잉진료를 방지합니다.
믿을 수 있는 중랑구 망우동 임플란트 치과
치과를 선택함에 있어 단순히 저렴한 곳을 선택하시면, 특히나 임플란트 같은 치료에 있어 제대로 된 관리를 받지 못할 가능성도 존재합니다. 충분한 상담과 정확한 진단을 통해 믿을 수 있는 치과를 선택하셔야 합니다. 바른플란트치과는 그 기준에 맞는 치과가 되기 위해 매일 진심을 다하고 있습니다.
특별함을 지닌 바른플란트치과
- 임플란트, 심미치료, 보존치료 전문
- 최신 장비를 통해 적합한 치료 제공
다양한 치료 중에 임플란트, 앞니 심미 치료, 충치 레진 치료를 가장 많이 하고 잘 합니다. 환자들에게 최고의 치료를 제공하기 위해 최첨단 장비 도입에 비용을 아끼지 않으며, 지금까지도 좋은 치료를 위해 주말 내내 공부를 게을리하지 않고 있습니다.
망우동 임플란트 | 심미보철
바른플란트치과
신뢰, 제가 치과를 운영하며 가장 중요하게 여기는 가치
치과의사로서 12년, 개원의로서 5년을 보내면서 저는 확신하게 되었습니다.
“치과 진료의 핵심은 신뢰다.”
안타깝게도 많은 분들이 과잉진료하면 가장 먼저 치과를 이야기합니다. 그만큼 국민들의 신뢰가 무너진 현실이 아쉽고 저 또한 치과계의 한 구성원으로서 책임을 느낍니다.
근본적인 원인은 정보의 불균형이라고 생각합니다. 치과의사가 제시하는 치료 계획이나 전문적인 설명을 대부분의 환자분들이 이해하기에는 쉽지 않습니다.
그렇기 때문에 저는 과잉진료를 방지하기 위해, “보여드리고, 설명드리고, 납득시켜드리는 진료”를 가장 중요한 원칙으로 삼고 있습니다.
01. 정확한 진단과 기록
02. 충분한 설명과 선택권
03. 직원이 아닌 치과의사가 직접 진단, 설명하는 시스템
저는 세 가지의 원칙을 가지고 기본과 초심을 지키는 치과의사가 되고자 언제나 노력합니다.
오택근 대표원장
- 대한구강악안면임플란트학회 정회원
- 대한심미치과학회 정회원
- 대한치과보존학회 정회원
- 대한치과보철학회 정회원
- 대한치과이식임플란트학회 정회원
- 대한턱관절교합학회 정회원
- 대한구강악안면방사선학회 정회원
- Cosmetic Academy 정회원
- 통합치의학 전문의 과정
- 前) 서울바른플란트치과 임플란트 센터과장
- 前) 서산시 보건소 치과 과장 역임
무절개로 통증이 적은 3D 네비게이션 임플란트
당뇨, 고혈압, 고연령자도 가능한 망우동 임플란트
최소 통증
일반 임플란트 치료와 달리 무절개, 최소 통증으로 당일 일상생활이 가능합니다.
최상의 치료계획
육안이 아닌, 수술 전 3D 컴퓨터 모의수술을 통해 최상의 진료계획을 수립합니다.
감염, 부작용 감소
절개하지 않고 작은 홈만으로 임플란트 시술이 가능하여 감염 및 부작용 위험이 낮습니다.
시술 위험 감소
개인 맞춤 수술 유도장치를 사용하므로 신경손상 및 잘못된 시술의 위험이 적습니다.
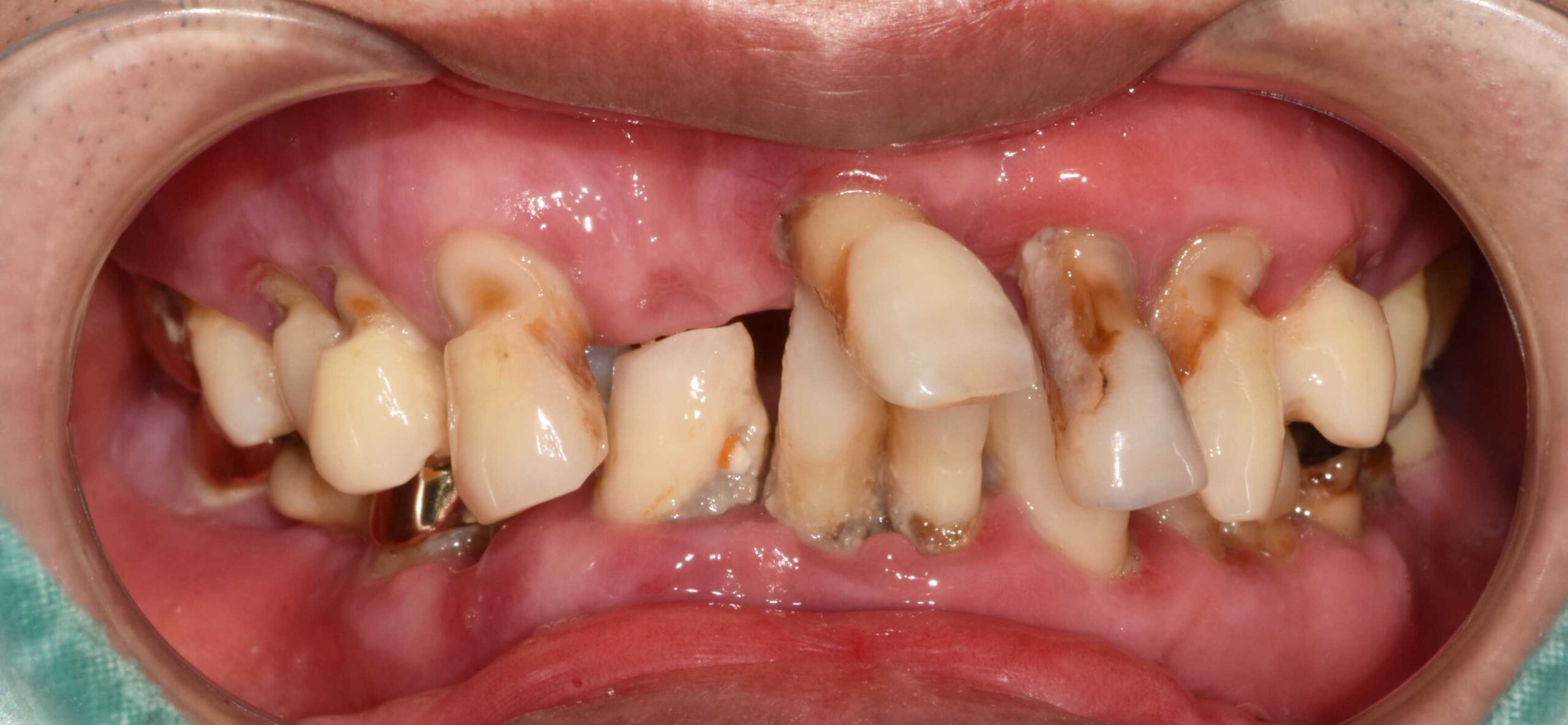
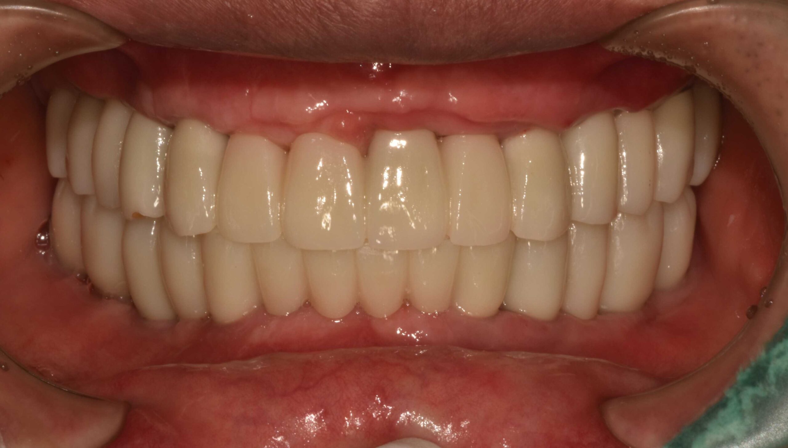
전체 임플란트 치료


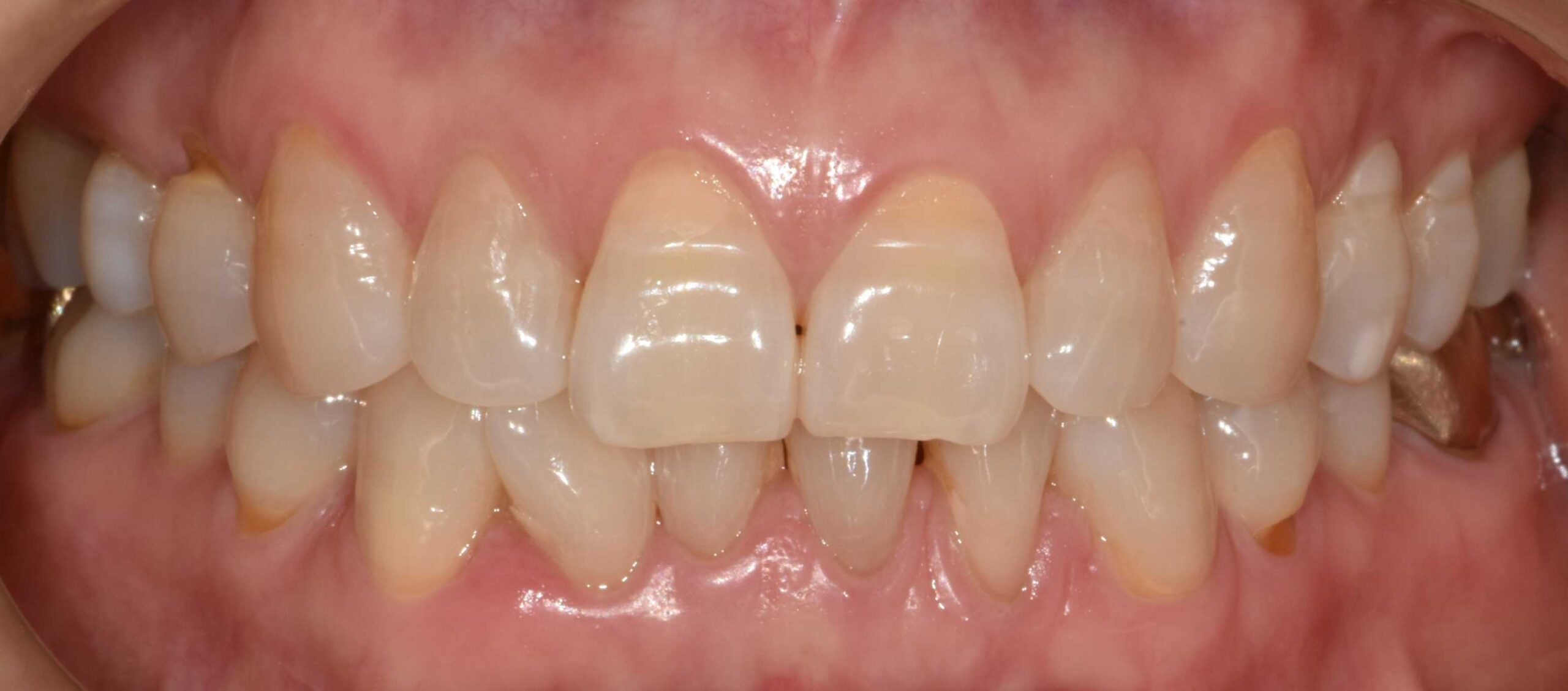
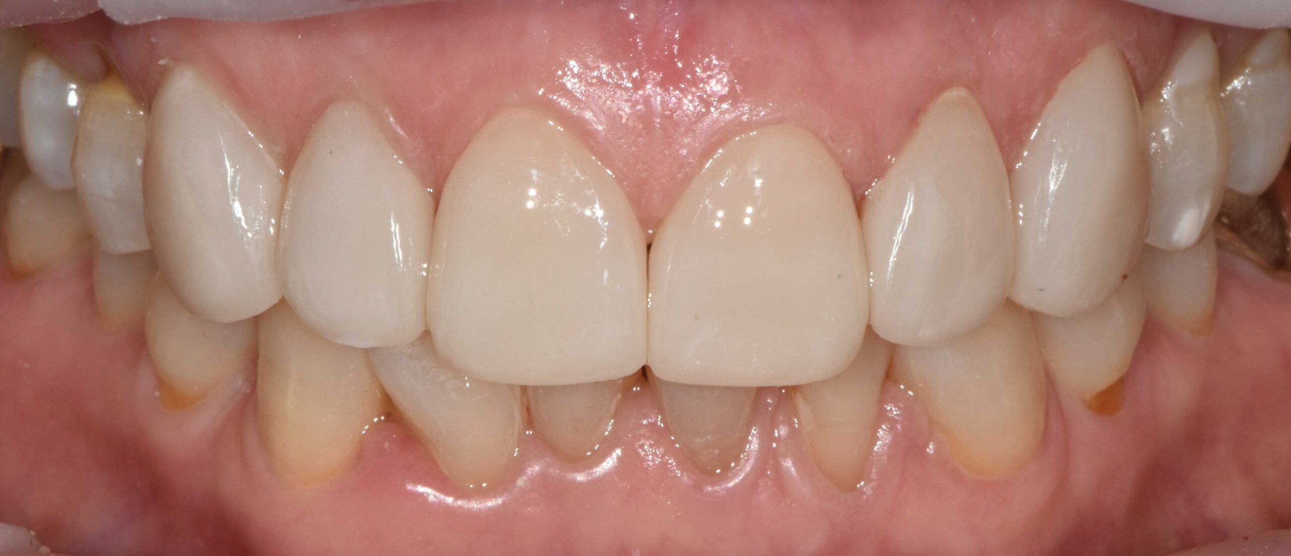
심미보철 치료


중랑구 대표 바른플란트 치과 진료영역
임플란트, 심미보철, 사랑니 발치, 자연치아 살리기 등 차별화 된 맞춤형 진료를 통해 살릴 수 있는 치아는 최대한 살리고 꼭 필요한 치료만 권해드립니다.
01.
임플란트 클리닉
정확도와 안전성이 높은 디지털 가이드 수술을 통해서 통증을 최소화하고 빠른 회복을 돕습니다.
02.
심미보철
무삭제 라미네이트 치료를 통해서 자연치아 보존과 심미 두가지를 모두 한꺼번에 잡을 수 있습니다.
03.
사랑니 발치
대학병원에서 뽑아야 한다고 거절되셨던 사랑니도 저희 치과에서는 빼드립니다.
04.
자연치아 살리기
치아를 빼기전에 치아를 살리기 위해 노력하는 치과입니다.
